At a Glance
Problem: The child's bottom tooth dropped out too soon, which could mean that there isn't enough room for adult teeth to grow in.
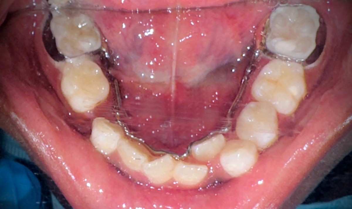
Process: The process requires placing in a facing lingual holding arch with u-loops.
Time: Single appointment lasting approximately one hour
Progress: The space was clean, and there were no problems with predicting pain or tooth growth.

The case of a 6-year-old child who had lost a lower primary molar at an earlier age was treated by Dr. Pooja Mapara Patil, a highly experienced Pediatric Dentist with over 9 years in the dental field, as a pediatric dentist at Magnum Clinic, Dubai.
The parents were concerned about the movement of the adjacent teeth, which could lead to crowding of permanent teeth.
Doctor Pooja recommended that parents have a fixed lingual holding arch and U-loops to maintain dental arch space. The appliance was placed in one appointment, resulting in effective space maintenance and a positive treatment experience.

The patient was a healthy six-year-old, male child, with no severe health issues. The lower primary molar fell out early because it was decaying. The parents saw that the teeth adjacent to the child's mouth had moved during a normal dental exam. The child was helpful during the diagnosis and treatment procedure. Early intervention through preventive orthodontics was sought to avoid more complex orthodontic issues & maintain a healthy developing smile.
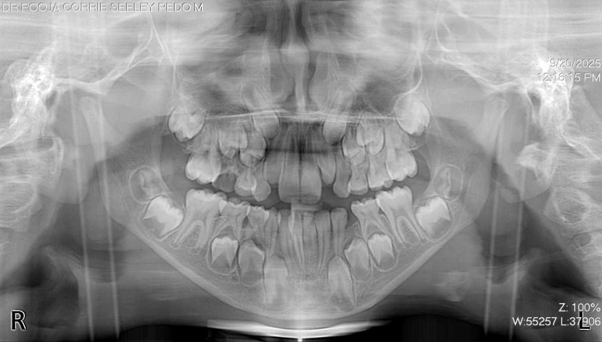
The diagnosis was accurate due to clinical and radiographic examination, & the lower primary molar is prematurely exfoliating. The clinical examination reveals that adjacent teeth have begun to fill the gap. An X-ray deprived of visible space and a 5-year loss potential revealed emerging permanent tooth buds in anticipated sites. Dr. Pooja was treated using a designed lingual holding arch with U-loops. The device helps to stabilize the molars to allow the adjustment to various mandible development. The parents were thoroughly informed about the process, benefits, and care needs were clarified.
The therapy was initiated by obtaining a dental impression with materials that do not cause discomfort to a child. It incorporated advanced 3D dental scanning technology, producing a perfect copy of the dental arch with perfect appliance fabrication.
The local anesthesia and isolation of U-loops through the rubber dam were optimal in providing ideal hygiene around the lower molars of the child, which Dr. Pooja cemented using a custom lingual holding arch.
Magnification tools were used to guarantee precise positioning. The U-loops were built into the arch to increase in size as the child develops. The whole process was effective and aimed at reducing the chair-time as much as possible and maximizing the comfort as much as possible.
Parents were taught to maintain the mouth cavity in a very good state and brush lightly about the appliance reducing the formation of plaque. Some of the food recommendations include the avoidance of hard and sticky foodstuffs that can be quantified and be harmed by the device. Dentist agreement, i.e., visiting a dentist at least 3- 6 months to review the fit of the appliances to be used and tightening the U-loops to suit changes in the jaw. The temporary teeth are provisional and will be removed after the permanent teeth have entirely come up, thus saving on the necessity of space. These are precautions for playing a vital role in the dental apparatus's longevity and well-being.
















Looking for a dental clinic near me? From routine check-ups to advanced treatments, our dental specialists are dedicated to providing exceptional dental care in Dubai.
