At a Glance

An experienced endodontist, Dr. Ashwin, in Magnum Clinic Dubai treated a 42-year-old business analyst who experienced severe pain in the upper left canine. The patient wanted to preserve his natural tooth at a low cost and with pain-free root canal treatment. Treatment was guided using the latest 3D imaging. After the procedure, a long-lasting zirconia crown was placed that made the chewing functions complete. The patient was grateful for the care and pain management.

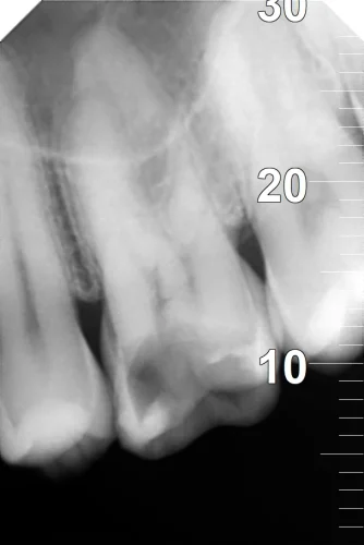
The client had no major health problems; however, she had some previous restorative dental work. He complained that his tooth number 11 has been getting worse within two weeks, mostly induced by hot and cold foods and chewing. During the examination, the dentist found deep decay around the nerve and noted percussion tenderness. Painless treatment was an absolute priority in the case of the patient, as he had unpleasant dental experiences in the past. High-quality 3D imaging was employed to map the tooth structure accurately to achieve a proper course of action.
Pulpitis had been diagnosed to be irreversible with an infection of nerve tissue within tooth number 11. Root canal was prescribed in order to remove the infection and save the tooth. Dr. Ashwin utilized an orthograde procedure, which was non-surgical and helped to clean and shape the root canals with the aid of a thorough 3D imaging. The restoration was to be fabricated with the zirconia crown that is strong in nature and provides the natural biting power. The plan was resourceful in patient comfort and clinical efficiency and cost-effectiveness.
Topical and local anesthesia was done. Tooth number 11 was isolated using a rubber dam and kept sterile. Under the guidance of 3D imaging, Dr. Ashwin excised infected tissues with rotary tools and irrigation with a lot of care. The gutted canals were stuffed with gutta-percha and capped with cement. Proper management of pain secured comfort for the patient. Lastly, the zirconia crown, which was very strong and appealing to the eye, was cemented, and this restored the functionality of the teeth.
Patients are expected to brush their teeth at least three times a day using a soft-bristled toothbrush. It is important to avoid chewing tough food on the affected tooth during the period of healing so that it is not damaged. Limiting acidic & sweetened food is useful in safeguarding dental restorations and avoiding dental cavities. Routine dental cleaning and six-month check-ups ensure the efficiency and durability of the root canal therapy and zirconia crown. Following such steps encourages oral health in the long-term
Patients tend to prefer pulpectomy care in Dubai due to the quality of care and the convenience and accessibility in the city. Clinics rely on modern digital and 3D imaging & microscopic endodontics in order to treat painlessly and with precision. The international customers are made to feel comfortable and confident by DHA-licensed specialist pediatric dentists, many of whom are able to speak multiple languages. Dental clinics maintain high standards of sterilization, ensuring a safe & clean environment for all patients. The combination of professionalism, technology, and high-quality care will keep the teeth of children healthy and pain-free
Teeth that receive root canal treatment, proper restoration, and aftercare can be maintained for several years. Even in the complex cases, success rates are reported at about 80-85%. The advantages of modern anesthesia are immediate pain relief, preventing abscess due to elimination of infection, long-lasting zirconia crowns, and cost-effectiveness because of saving natural teeth.
Root canal at Magnum Clinic Dubai Make your natural tooth pain-free.
Get to know high-technology root canal care & zirconia crowns with Dr. Ashwin, or book online.

















Looking for a dental clinic near me? From routine check-ups to advanced treatments, our dental specialists are dedicated to providing exceptional dental care in Dubai.
