At a Glance

Dr. Pooja successfully treated a young patient at Magnum Clinic, Dubai. He was experiencing severe pain in one of the teeth in the top back. The diagnosis was primary maxillary first molar pulpitis, which was irreversible. The tooth was saved with the utmost help of the latest pediatric endodontics in Dubai, which entails pulpectomy, which is pain-relieving and does not negatively affect the natural functions of the tooth.

A school-going child of Indian origin came for treatment of persistent pain in the upper right back tooth. The pain impacted daily activities as well as sleep. There was no significant medical history of the patient. The parents came to Dubai because there are DHA-certified pediatric dentists who provide child-friendly and advanced dental care close to home.
The child had exemplary oral hygiene but developed deep decay in the affected tooth. The family requested a treatment approach that would prevent tooth extraction and maintain dental development.
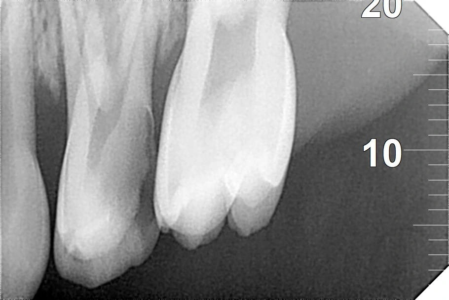
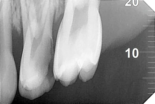
Clinical examination suggested gross caries in the primary maxillary first molar (#I), tenderness on percussion, intraoral swelling, and a sinus track. An intraoral periapical radiograph (IOPAR) revealed deep proximal caries that involved the pulp with periapical infection. The behavior rating was Frankl's Negative (--), which meant anxiety.
Considering the irreversible pulpitis and clinical signs, the pulpectomy procedure was planned in tooth #I, followed by permanent post-endodontic restoration. Space and function preservation were avoided through extraction; the treatment aimed to eliminate the dead tissue in the pulp and fill the canals with resorbable material.
The treatment was applied in two appointments of about 45 minutes. Behavior management was initially introduced into the Tell-Show-Do process to help reduce anxiety. A topical anesthetic gel was used before local anesthesia infiltration for a pain-free experience.
A rubber dam was used in order to isolate that tooth & obtain a sterile field. Carious tissues were thoroughly removed. The access cavity was prepared using pediatric rotary burs. Necrotic pulp was totally extirpated from the Canals.
Biomechanical preparation was performed using 16mm pediatric rotary files under magnification, ensuring thorough cleaning. Canals were sprayed liberally with sodium hypochlorite solution. The canals were obturated using Metapex (a resorbable, calcium hydroxyapatite-based paste ideal for primary teeth).\
The tooth was then restored with glass ionomer cement to provide a final seal that was durable and biocompatible. Throughout the procedure, vitals were checked, and the child's comfort was considered first.
After pulpectomy, excellent oral hygiene should be maintained. Supervise brushing and use fluoride toothpaste to protect the tooth after restoration. Dense & sticky food should be avoided, because it can harm the restoration.
Regular dental checkups every 6 months help keep track of the teeth's condition. The treated primary molar is predicted to remain in its radiological position until natural exfoliation (expected to be at age 10-12). If there is pain, swelling, or damage to the restoration, please be in touch with the clinic.
The fact that pediatric dentists in Dubai are DHA certified and have been trained in child psychology is what makes the patients prefer them since they are able to offer care to the children in a gentle manner. Clinics have modernized digital X-rays and painless delivery of anesthesia to achieve effective and comfortable treatment. The surroundings are kid-friendly with high levels of sterilization practices, which value safety. Moreover, there are contemporary restorative materials, including stainless steel, Biolex, and zirconia crowns, to reinforce the patients in the long run. It is this body of knowledge combined with technology and a nurturing environment that makes Dubai a reliable option as far as pulpectomy and pediatric dental services are concerned.
Pulpectomy in Dubai is an excellent way of conservatively preserving infected primary teeth. Through care focused on children & expertise in pediatric endodontics, Dubai DHA-certified dentists, Dr. Pooja, provide long-lasting, pain-free treatment outcomes. The process keeps the mouth functioning and aesthetic. It provides space for the permanent teeth to prevent premature tooth loss and avoid future orthodontic issues.
Book your consultation today. Explore our Pediatric Dentistry services and Root Canal Treatment options for more information about saving your child's natural teeth.
















Looking for a dental clinic near me? From routine check-ups to advanced treatments, our dental specialists are dedicated to providing exceptional dental care in Dubai.
