At a Glance

In this case, Dr. Pooja, a pediatric dental specialist at Magnum Clinic Dubai, checked a 5-year-old, Chinese school girl experiencing pain in the lower right primary molar.
The parents wanted a child-friendly dental specialist near the house so that they could have a painless & comfortable visit.
The pulpectomy procedure was successfully completed by the use of the behavior management techniques, rotary pediatric files and the use of stainless steel crown restoration. This approach preserved the natural tooth, managed space, and prevented premature extraction.

The tooth had a severe infection. The plan was to remove the infected pulp (pulpectomy). The canals were cleaned with small rotary files. They were filled with a safe, resorbable paste (Metapex). A stainless steel crown was placed to protect the tooth and restore chewing.
The tooth had a severe infection. The plan was to remove the infected pulp (pulpectomy). The canals were cleaned with small rotary files. They were filled with a safe, resorbable paste (Metapex). A stainless steel crown was placed to protect the tooth and restore chewing.
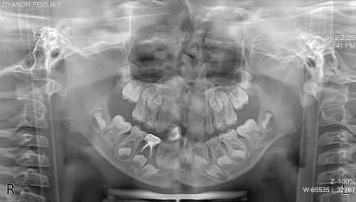
Day 1: Exam, X-ray, and start of pulpectomy (access opening)
Day 2: Remove pulp, clean canals, and fill them with Metapex.
Day 3: Place stainless steel crowns and provide care tips.
The child was calmed using the Tell-Show-Do method. Numbing gel and a local shot made the area pain-free. A rubber dam kept the tooth dry and clean. The decay was removed. The infected pulp was taken out. The canals were cleaned and filled. A stainless steel crown was fitted and cemented.
Brush gently with a soft brush three times a day. Avoid rough food on the treated tooth. Eat less sugar so that you do not develop new cavities. Visit the dentist every six months to inspect the crown and oral health.
Patients prefer Dubai pediatric root canals (pulpectomies) since the city has pediatric dentists certified by DHA and trained in child psychology to provide gentle and understanding care. Clinics with high-tech digital and 3D imaging and pain-free systems of delivering anesthetic treatment are used to treat carefully and with comfort. The child-friendly places are highly sterilized to ensure they are safe. Also, the availability of advanced restorative materials such as stainless steel, Biolex, and zirconia crowns would aid in the protection and restoration of the tooth in the long run. Such professional treatment, technology, and a warm environment have made Dubai a reliable option for maintaining the teeth of children without pain and efficiently.
Pulpectomy is one of the most effective treatments for preserving infected primary teeth in children. It is not only pain relieving but also contributes towards ensuring that the mouth functions and looks pleasing. Pulpectomy helps maintain appropriate space in the dental arch, which is essential for healthy development, by saving the natural tooth until it falls out on its own. It further lowers the chances of loss of teeth at an early stage, which may cause orthodontic problems in the future. In general, pulpectomy is a critical procedure in the provision of long-term oral health and comfort to the young patients.
Receive expert, pain-free pediatric root canal care in Dubai. Book your child’s visit with Dr. Pooja at Magnum Clinic today.
















Looking for a dental clinic near me? From routine check-ups to advanced treatments, our dental specialists are dedicated to providing exceptional dental care in Dubai.
