At a Glance

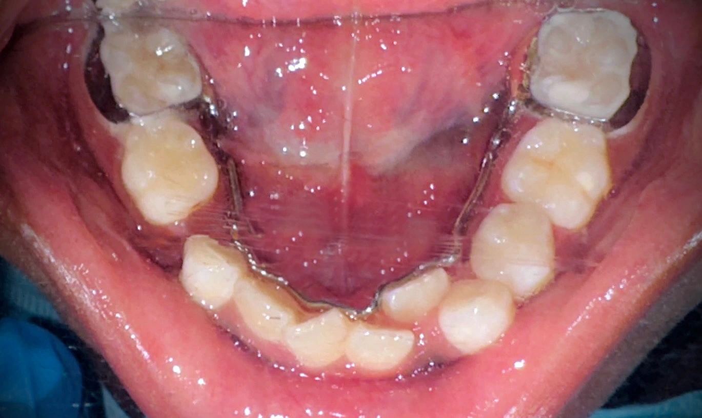
A 10-year-old British schoolboy raised concerns at the Magnum Clinic Dubai with skilled pediatric dentist Dr. Pooja about the risk of space loss for the eruption of his permanent teeth due to the premature loss of lower primary molars. A fixed lingual holding arch with U-loops to hold permanent teeth and maintain stabilization of arch length was fitted on the child. The therapy was beneficial, and patient comfort was reported to be excellent.

A healthy 10-year-old British schoolboy lost his lower left first primary molar prematurely due to caries. His parents observed tooth shifting of neighboring teeth and were concerned about the dental crowding and alignment problem in the long run. The family decided to visit Magnum Clinic Dubai to have specific dental treatment of children with a focus on initial preventative orthodontics. No chronic health problems were mentioned.
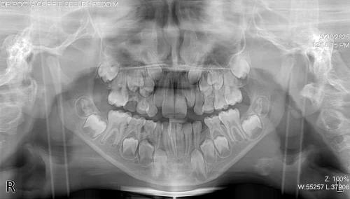
The complete clinical and radiographic evaluation, to include Orthopantomogram (OPG), exposed severe crowding of the lower anterior area, as well as premature loss of the lower left primary molar (#L), which leads to loss of space and causes the permanent teeth to migrate mesially. This diagnosis was sufficiently clear enough to result in the insertion of a fixed lingual holding arch with U loops to ensure space and support the symmetry of the arch until a natural eruption of successors.
The process began with an iTero intraoral 3D scan, which is deemed better than the traditional impressions and produces digital impressions that are accurate in creating the appliances.
The Tell-Show-Do technique of behavior management was used to accomplish child cooperation. The designed appliance is a custom appliance that was fabricated in a dental lab using quality materials.
The lingual holding arch was cemented with glass ionomer cement, which is adhesive and releases fluoride, as this gave an opportunity to expand the U-loops and adapt them to the lingual tooth surfaces. The process was done with a lot of care using a rubber dam to keep everything clean, and special tools were used to ensure the appliances were placed correctly.
The total chair time was approximately 30 minutes, distributed over two visits, one for scanning and the other for placement and adjustment. Post-placement, the child’s bite and comfort were carefully assessed, and oral hygiene instructions were delivered.
Advice on the care of the appliances was given in detail to parents, with special stress on the soft brushing method to avoid the formation of plaque around the appliance. They were also counseled not to take sticky and hard foods that could move around and destroy the arch. Regular check-ups of the appliances (3-6 months) are necessary to monitor the correct fitting of the appliances and the repositioning of U loops when the mandible grows. The appliance shall be taken off when permanent teeth have grown fully, which will guarantee the maintenance of space.
We have pediatric dentists who are DHA-qualified and experienced in handling dental space among children. Custom-made appliances are made using high-quality digital imaging & accurate lab methods. Also, to alleviate treatment stress, clinics are child-friendly and have a calming environment. This is where early preventive orthodontics sets the stage for a healthy and well-aligned smile in life.
The U loops Lingual Holding Arch is an effective preventive orthodontic appliance that has been developed to hold the arch length following the premature loss of primary mandibular teeth. It is also effective in maintenance of the required space, prevention of dental crowding, and proper eruption of permanent successor teeth thus reducing the orthodontic treatment involved in the future.
Protect your child’s dental future with expert preventive care at Magnum Clinic Dubai. Book a consultation today to explore personalised space maintainer solutions.
Explore our Pediatric Dentistry and Space Maintainers services or Book Your Appointment now!

















Looking for a dental clinic near me? From routine check-ups to advanced treatments, our dental specialists are dedicated to providing exceptional dental care in Dubai.
