At a Glance

Dr. Pooja, a renowned pediatric dentist at Magnum Clinic, Dubai, treated a young patient who was concerned about the position of her teeth because of the loss of one of the primary molars.
The 7-year-old girl required a solution to prevent future crowding. A band and loop space maintainer was fitted to hold the space of the permanent tooth coming in. The treatment was fast, painless, and very efficient.

The patient is a 7-year-old schoolgirl. Her first molar in the primary teeth on the lower left jaw was highly decayed and had been extracted due to severe caries. She has no health issues in her history. The parents choose Dubai because of its superior care in pediatric dentistry and child-friendly clinics.
They feared the shifting of their child's teeth and the possibility of orthodontic problems in the future. They were concerned about obtaining preventive treatment to ensure the proper development of their child's permanent teeth.
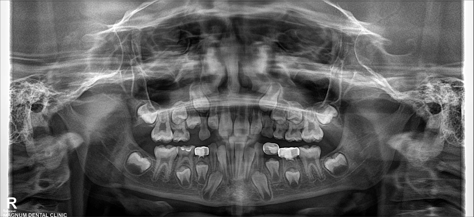
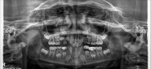
A complete oral examination and an orthopantomogram (OPG) were performed. The extraction socket healed, and the adjacent tooth (#K) received vital pulp therapy and a stainless steel crown. It was necessary to preserve the area of the permanent first premolar (#21).
Without intervention, the loss of space may cause crowding or impaction. The procedure involved applying a unilateral band and loop space maintainer to tooth #K.
This immobile appliance would stabilize the space until the permanent tooth erupts and achieves the proper alignment.
The iTero intraoral scanner uses a computerized image instead of the conventional impression. This is a new approach that is more comfortable for the patients. It is fast, precise, and less invasive. Images are fairly captured in a few minutes using the scanner, making dentists more accurate in planning their treatments. It is far more comfortable for patients than the gooey impressions of the past.
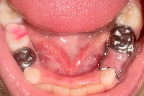
The band and loop appliance was custom-fabricated in the lab. The stainless steel loop was contoured during the second visit to fit the edentulous space. Then it was soldered to the band & smoothed. The appliance was tried, fitted, and cemented with the help of glass ionomer cement.
The entire process took about 30 minutes across two appointments. The child remained comfortable throughout.
Parents were advised to maintain regular dental visits every 6 months. The child should avoid sticky or rigid foods that could dislodge the appliance. Oral hygiene must include gentle brushing around the band.
The space maintainer will stay in place until the permanent tooth erupts, typically in 1–2 years. Early removal can undo the benefits.
Dubai boasts state-of-the-art pediatric dentistry, equipped with the latest technology and staffed by well-trained specialists. Clinics specialize in preventive care, comfort, and oral health (long-term).
Ease of access to the facility, digital technology such as iTero, and early intervention also make Dubai a convenient place to visit with the family. Multicultural employees and convenient access also complement the experience.
The case highlights how a Dubai band and loop space maintainer can prevent space loss for prematurely extracted teeth.
The preventive method that is used by Dr. Pooja ensures a normal eruption of permanent teeth & prevents complicated orthodontic treatments in the future.
Magnum Clinic is where advanced care and child-centered service provide permanent outcomes.
Ready to protect your child’s smile? Book an appointment with our pediatric dentistry team today.
















Looking for a dental clinic near me? From routine check-ups to advanced treatments, our dental specialists are dedicated to providing exceptional dental care in Dubai.
