At a Glance
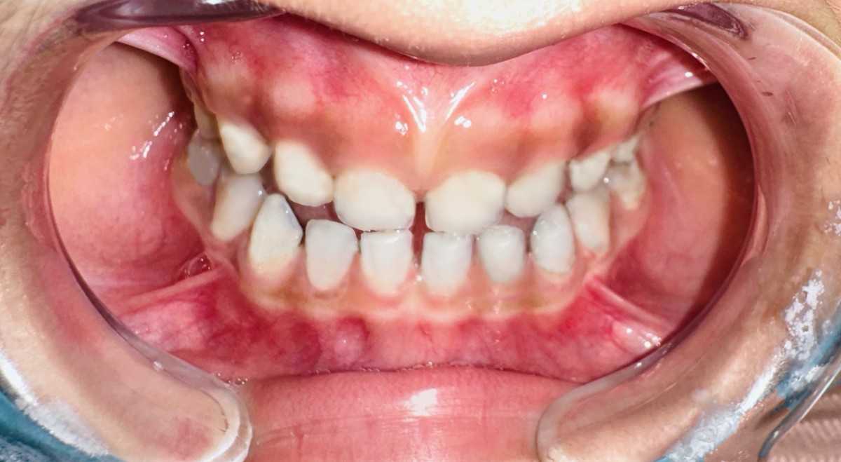
History: There are black spots on the child's teeth that affect their appearance.
Process: Light extrinsic stain elimination and oral prophylaxis.
Time: 1 appointment of approximately 30-45 minutes.
Conclusion: Stain-free teeth that were clean and had higher confidence/oral health.

Dr. Pooja is a reputed pediatric dentist who works at Magnum Clinic, Dubai, and was called in to see a 7-year-old girl who had black stains on the front teeth. The parents cared about the appearance and wanted to find a safe and painless solution.
Dr. Pooja took the mild stain off and restored the smile of the child. The treatment was quick, painless and effective.

The child was normal and had no health complications. The stains on the front teeth were black, and they developed over time, primarily in the gum area. The parents saw them in the course of brushing and were concerned with not only hygiene but also appearance. The child was cooperative and attended dental check-ups on a regular basis. The child denies experiencing any pain or sensitivity. The spots were not caused by decay.
Dr. Pooja checked the teeth and confirmed that they were extrinsic, or the result of diet, oral bacteria, or slight accretion of plaque. There was no enamel damage or decay as shown by X-rays. The treatment regime included professional cleaning by using a soft polishing paste and an air-polishing procedure to delicately raise the stains.
It was aimed to have a clean, natural appearance, and the enamel was to be saved. Dr. Pooja talked to the parents about the procedure, focusing on the safety and comfort. The follow-up visit was planned to examine the oral hygiene and avoid the recurrence.
It was started with a mild cleaning process with the help of a soft rubber cup and non-abrasive polishing paste. In regard to recalcitrant spots, Dr. Pooja applied air-polishing of the fine powder and water spray that were safe for surface stains without harming enamel.
Magnification aids were used to be precise. The child was relaxed in all, and breaks were given when required. The whole session took less than 45 minutes. No anesthesia was required. The outcome was a visual cleaning of teeth with a natural polish.
Assist your child to brush twice per day using a soft toothbrush. Eliminate staining foods and beverages such as black tea or iron pills. Take fluoride toothpaste and floss. Consistency of dental cleaning after every 6 months will assist in avoiding the accumulation of stains and promote oral health in the long term
The bacteria stains in children are black and are not dangerous but may irritate the parents due to their appearance. Home offers great results on the basis of a simple professional cleaning and good care. These stains have a tendency of returning therefore your child will require frequent visits to the dentist so that his or her teeth look shiny and healthy.
The smile of your child will be safeguarded with professional care by removing teeth stains and preventive dentistry at Magnum Clinic, Dubai.
Book an appointment with Dr. Pooja and make your child have the assurance of a joyful, healthy smile today.
Call our Pediatric Dentistry or Kids Oral Prophylaxis or Book Your Appointment.

















Looking for a dental clinic near me? From routine check-ups to advanced treatments, our dental specialists are dedicated to providing exceptional dental care in Dubai.
